站内留言
    新闻浏览
  • 您现在的位置:新闻中心 -> 新闻浏览
返回列表 上一页 下一页

美学种植大师Dr.Inaki Gamborena精彩病例展示

发布时间:2015-04-11

Dr.Inaki Gamborena1989年毕业于多米尼加牙科大学,并于1990年获得墨西哥咬合重建协会的合学及颞下颌关节病的证书。1992年他获得墨西哥AutónomaNuevo León大学的修复证书。之后他在1996年获得美国华盛顿大学的修复学硕士学位并获得Bolender contest临床和科研奖学金。1997年他在得克萨斯大学获得口腔颌面外科和种植的专业医师文凭。从2001年起Dr.Gamnorena就成为华盛顿大学的教授。2007年起成为宾西法尼亚大学的修复学教授。2009年起成为乔治亚医科大学的牙周病学教授。他是精粹杂志Chief of Quintessence TécnicaJournal西班牙文版的主编。也是精粹2014年种植修复主推巨著《’’EVOLUTION: ContemporaryProtocols for Anterior Single Tooth Implants”》的作者。Dr.Gamborena也是NobelBiocare种植公司最新的slim temporary abutmentconcept: maximizing space for soft tissue growth技术的发明人。

2002年起他就是欧洲美学修复学会European Academy of Esthetic Dentistry的会员;2011年起任美国修复学会American Academy of Restorative Dentistry的会员并在全世界演讲。Dr.Gamborena在西班牙的圣萨巴斯蒂安San Sebastián私人开业,专注美学修复和种植。

温馨提示,所有图片可以点击放大,更加清楚地看到软组织的细节和修复体的美学效果。


图1.延期种植1,2007年种植修复刚刚完成时的照片。


图2.延期种植2,2014年不论是从照片还是X线上,都显示出种植周围软硬组织稳定,颜色粉嫩!

Dr.Inaki Gamborena在德国慕尼黑宝马中心发表美学种植演讲的现场。

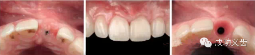
图3.即刻种植1,2008年的拔牙即刻种植病例,完美修复效果。

图4.即刻种植2,2013年复查。种植体周围骨组织稳定,龈乳头依然尖锐。颜色粉嫩,赏心悦目。

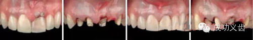
图5.Nobel Replace种植前。联合正畸治疗,以常用的Nobel Replace系统,来修复这个病例。


图6.Nobel Replace种植后。可见缺失的双侧切牙好像从牙龈里生长出来的一样。漂亮的外科、精心的软组织维护、极致的修复、和完善的口内摄影,成就了这个完美的病例。

Dr.Inaki Gamborena和大家分享他得窄颈愈合基台理念以及软组织维护技术。

图7.众所周知,相连2颗下前牙的种植修复,考验医师的美学种植控制功力。

图8.相邻2颗下前牙,凸显美学种植控制功力,术后及模式图。在2015年4月3-5日的课程中,Dr.Gamborena将和大家分享他处理这类病例的技巧。绝对干货哦!

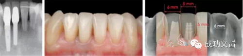
图9.再来一个高难度的病例。双侧下中切牙连种。

图10.再来一个高难度的病例。双侧下中切牙连种。牙龈乳头完美再生,毫无违和感。

图11.又一例2颗下中切牙案例。

图12.神级的种植修复效果。2015年4月Dr.Ianki Gamborena 手把手向您传授他的秘密!

图13.不仅种植,修复和软组织的控制相当厉害。

Dr.Inaki Gamborena在2800人参与的种植大会上做演讲。

图14.大师2007年做的传说中的“插秧式”种植。看看平行度吧!怎么实现的呢?医生和病人都满意才是真的好,你懂得:)

图15.左边就是这个病例的术前。我们一起来学习一下。

图16.外科导板,个性化基台,软组织的成形,加上精美的修复,最终成就额这个病例。

图17.看看远期效果吧。不在于种的多不多,关键是种的好不好!绝对干货!

图18.骨不够,怎么凑?植骨还是植骨加结缔组织移植?还是用牙龈色瓷/牙龈色树脂?

图19.勇敢的选择了植骨,如何手术?怎么规避风险,达到想要的效果?这就是控制!

图20.对于有难度的病例,如何攻克?怎么评估?如何完善?

Dr.Inaki Gamborena2014年9月在东京演讲,是大师为数不多的在亚洲讲学。

图21.软组织瓣怎么设计?怎么切?怎么缝?怎么玩转软组织,让种植体就像从牙龈中生长出来的一样?关键在于Predictable!

今年从西班牙圣萨巴斯地安直飞中国上海,Dr.Inaki Gamborena为大家带来精彩绝伦的种植美学盛宴!

图22.修复阶段又要注意什么?

图23.怎么留下经得起内行考验的病例?医技如何沟通,以达到完美的效果?

图24.怎么把视觉做到极致?

除了治疗计划和手术,还有哪些步骤能让您的前牙种植在美学上完美无瑕?看看以下的病例吧!


高超的手术就像蒙着的一层牛皮纸,需要有前辈来点破;大师遵循循证医学的经典病例就像明灯,为您指明前进的方向,规避风险,获取最大的收益。而着也是您病人的收益。

图25.用病例来讲述

图26.从一团糟,到医生的诊断设计

图27.精心的手术

图28.配合多次修整临时牙,达到最终以假乱真的效果。



返回列表 上一页 下一页
网站首页 | 公司简介 | 企业风采 | 企业荣誉 | 义齿产品 | 新闻中心 | 人才招聘 | 联系我们 | 站内留言 | 网站地图

福州众升成功医疗科技有限公司 版权所有 在线客服
电话:0591-83595526 传真:0591-83595526义齿官网:www.fzcgyc.com 联系电话:0591-83595526
Copyright 2009 Fuzhou Success artificial tooth manufacturing company All rights reserved
博瑞特义齿:高端义齿加工全瓷美学修复中心——博瑞特!打造义齿加工修复行业标准规范企业!  闽ICP备12001227号