新闻浏览
您现在的位置:新闻中心 -> 新闻浏览| 返回列表 上一页 | 下一页 |
口腔培训
国洪波
美学树脂分层修复技术培训班

课程介绍
本次课程为三天;两天理论课(一天后牙理论,一天前牙理论);一天操作课。凡参加操作课的学员请自带光固化灯一台,主办方提供2颗后牙1颗前牙进行操作。
三天课程内容安排
第一天(理论课)
上午:8:30-12:00
1、后牙窝洞预备
2、全酸蚀与自酸蚀技术
3、湿粘接的原理
4、经典的第4代全酸蚀粘接剂用法
下午:14:00-18:00
5、邻面成型系统
6、垫底材料的选择(为什么用流体树脂垫底)
7、后牙解剖形态(上颌6与下颌6中央窝的重要性)
8、解剖式充填的步骤与方法
9、树脂水门汀的分类与选择
10、树脂嵌体的粘接
第二天(理论课)
上午8:30-12:00(理论课)
1、前牙IV类洞的牙体预备
2、制作硅橡胶导板的意义和方法
3、树脂材料的分类
下午14:00-18:00(理论课)
4、比色中涉及的几个概念
5、牙釉质与牙本质的光学特性
6、形态的修整与抛光
7、光固化灯的重要性
第三天(操作)
上午8:30-12:00(操作演示)
1、后牙一类洞充填(上颌6,下颌6)
2、树脂嵌体的演示
3、前牙IV类洞分成技术
下午13:30-17:00(学员操作)
4、同上
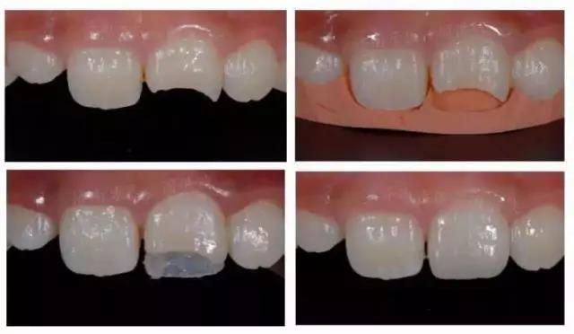
病例展示






【收费标准】(此价格为税前价,开票需另外收6%的税点,开具正规“牙科培训费”发票,合法很重要!)
提前汇款:3600元(全国统一价格)
KQ88老学员:3300元
博瑞特VIP客户3300元/人
扫一扫下方二维码
报名请咨询下方联系人
赵 芯13615032255
严天银18695785268

(不接受现场报名)
培训要求
课程时间:9月10日--9月12日
1、培训当天8:00报到;(以负责人短信通知为准)
2、安排中午便餐,其它食宿自理;
3、如需预定酒店,需要预付第一天的房费,若由于个人原因不能入住,所有损失将由个人承担;
4、按汇款先后顺序安排座位;
5、培训中允许拍照,禁止录像;
6、禁止正式学员携带其他人进入会场,老学员复训理论禁止进入操作室;
7、因个人原因无法参加本次培训班,开课前7日内不可退费,可转下一期 。
博瑞特美学修复中心
想了解更多精彩内容请关注博瑞特义齿官网:www.brtchina.com 相关内容资讯欢迎拨打电话:0591-83595526;13615032255;13067236885;
| 返回列表 上一页 | 下一页 |