新闻浏览
您现在的位置:新闻中心 -> 新闻浏览| 返回列表 上一页 | 下一页 |
人类历史的发展演变经历了漫长时期。而最重要的进化,是我们的祖先在某一时期学会使用工具,有了“技术”。没有工具,人类会是十分脆弱的物种,没有任何人可以手无寸铁面对自然。而技术对人类的帮助是客观性的,没有语言,也没有感情,只有加上“沟通”的基因,技术才能帮助人类实现质的飞跃。就如我们手中的手机、手机里加载的微信,也如诊所中的CBCT设备、口腔显微镜以及设备中展示的影像图。
优质的影像就在您身边
国际上一流的影像图,在国内也不再是奢侈品,好产品的核心是真正的帮助医生解决问题。只有更清晰更智能的图像才能解决每次患者的诉求与顾虑,帮助牙医成功。 
口腔数字化趋势下,CBCT替代全景机和传统CT是大趋势。牙科高速发展的核心业务正畸和种植,都需要对于口腔内部进行精确地三维建模,描绘清楚口腔内血管位置和牙颌骨厚度,因此随着正畸和种植业务渗透率提升,口腔诊所未来离不开 CBCT。 
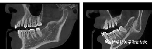
智能3D全景CBCT 多金属去伪影图 
普通CBCT 多金属去伪影图(同一患者) 
上颌窦底,骨小梁与下颌神经管清晰可见 
植体周围无阴影,植体螺纹清晰可见 
清晰的3D影像为实现数字化精准治疗保驾护航
医患沟通离不开智能3D全景
自1971年第一张人脑CT图诞生至今,技术革命在不断快速迭代。智能3D全景可以帮助医生便捷直观地发现多种牙齿隐患问题,医患沟通变得简单且高效。OnDemand 3D后处理软件直接模拟真实种植场景,使得医患沟通更直观,手术更安全,患者更信任。 
智能3D全景由外向内33张全景片观查 
普通全景图(同一患者前牙区埋伏牙观察) 


骨密度精确测量
医疗设备需要注重保养
搭载远程预警系统,设备寿命更长久。医疗设备需求的不只是维修,更重要的是维护与保养。7*24小时对设备运营状况的观测,不止于故障后的维修,保养才能帮助诊所更高效长久的使用设备。
本文来源于网络;版权归原作者所有,如有违规、侵权请联系我们,本平台会及时做出处理。
博瑞特美学修复中心
想了解更多精彩内容请关注博瑞特义齿官网:www.brtchina.com。相关内容资讯欢迎拨打电话:0591-83595526;13615032255;13067236885。
| 返回列表 上一页 | 下一页 |