新闻浏览
您现在的位置:新闻中心 -> 新闻浏览| 返回列表 上一页 | 下一页 |

数字化口腔美学修复
数字化技术在口腔修复学中的应用日益增多,如数字化导板和数字化导航辅助种植,数字化取模和CAD/CAM技术等辅助修复,这些都给临床医师带来了极大便易。美学修复领域中,数字化技术的优势更加明显,具体体现在以下几个方面:
优势一
数字化技术用于美学分析和美学设计,更加精确。
相比于传统借助于平面照片和石膏模型的美学分析和设计,数字化口内扫描后可精确测量点,线,面之间的三维距离,在此基础上进行美学分析设计,结果更直观、结果更精确。
优势二
数字化技术辅助的美学设计,利于医,技,患沟通。
美学修复治疗过程中的难点之一,是如何将设计方案准确无误的传达给技师,如何将设计结果清晰直观地呈现给患者,即医,技,患沟通问题。数字化技术的成熟,将原本抽象的设计方案三维化,可视化,具体化,清晰地呈现在电脑屏幕上,或3D打印出设计结果模型和树脂MOCK-UP,给医生,技师,患者提供了便捷的信息沟通渠道,搭建了可视化的分析和沟通桥梁。
优势三
数字化技术确保“以终为始”,实现精准定制。
如何将预先设计的美学效果和临时修复体形态复制至最终修复体,是临床医师和技师要面临的另一难题。数字化技术的应用,可以精确复制术前美学设计修复形态和临时修复体形态,把患者认可的修复体形态转移到最终修复体上,从而实现修复效果的精确转移,真正做到“以终为始”。预先计划,高度可控,快速精准,术前即可知道牙体预备量,修复后牙体形态,复制临时牙形态,所见即所得。
优势四
数字化技术制作导板,实现粉白美学。
需行牙冠延长术的美学修复患者,可采用数字化技术制作牙冠延长手术导板,精确控制去龈量和去骨量,辅助实现粉色美学。另,数字化技术可根据最终修复效果和术前形态,制作备牙导板,精准备牙,实现白色美学。
优势五
数字化技术缩短治疗周期。
数字化口内扫描精确度高,规避了传统印模技术口内取模不舒适,耗时,模型灌注易变形等缺点;CAD/CAM技术制作修复体用时更短。
本文将报道一例“牙冠延长术及数字化技术辅助设计制作铸瓷贴面关闭上颌前牙散在间隙”的病例报告,分享数字化技术在美学修复中的应用。
01、基本信息
冯X,女,26岁,销售人员,无牙科治疗史和系统病史,药物过敏史。患者诉上颌前牙散在间隙影响美观多年,要求关闭间隙,恢复美观。
02
治疗方案
图片
1. 正畸治疗
2. 铸瓷贴面
3. 牙冠延长术+铸瓷贴面
经过与患者沟通,患者最终选择方案三,即牙冠延长术及铸瓷贴面关闭上颌前牙散在间隙。
03、治疗过程
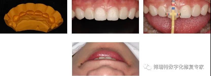
01、治疗前口外照 
02、治疗前口内照

03、术前患牙细节照及口外面下1/3照
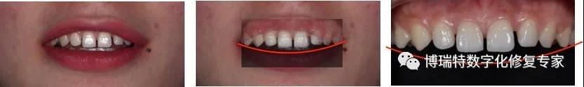
04、术前DSD分析,确定笑线位置。
05、术前美学分析

06、维持龈缘位置不变,贴面关闭间隙,DSD效果图如下图所示。

07、根据DSD分析结果制作诊断蜡型

08、据诊断蜡型制作硅橡胶导板,口内mock-up,口唇照显示切缘曲线与唇线协调。患者不满牙龈边缘不对称,于是更改治疗方案,重新DSD分析。

09、更改设计方案,左右牙龈边缘对称,同时增加前牙宽度和长度,获得较好的美学效果。制作新的诊断蜡型,硅橡胶导板以及手术导板。
10、利用新取模型制作手术导板,术中定点,切龈,根尖向翻瓣,去骨,13/12/11牙槽骨嵴顶距预定牙龈边缘有3mm距离。去除根面牙周纤维后进行缝合。

11、术后牙龈恢复情况:术前,术后,术后一周拆线,术后一月,术后五月。

12、根据新的诊断蜡型制作新的硅橡胶导板,口内mock-up,唇面,切端照,修复体长宽比例协调。

13、调整临时贴面形态及咬合,数字化扫描,用于参考制作正式贴面。
14、mock-up基础上,制备唇面及切端定深沟,硅橡胶导板指导备牙量。取硅橡胶模型,边缘清晰可见,制备临时贴面,抛光边缘。
15、比色照片,左A1,右A2。

16、数字化扫描备牙后上颌及对颌,3D打印模型。

17、数字化设计贴面修复体,调整邻面接触点至牙槽骨嵴的位置(小于5mm)

18、照片上可以看出终修复体有良好透光性,唇侧发育沟形态清晰。

19、内试戴,3M透明色试色糊剂试色,患者满意。

20、处理贴面粘接面

21、粘接完成后唇面照
22、修复体粘接完成一周后口内照 
23、修复体粘接完成后唇面及切端照
24、咬合检查,前伸为中切牙引导,左右侧方为尖牙引导
25、治疗完成口外后面下1/3照
26、术前术后对比照

27、修复治疗过程中牙龈恢复情况:口内mock-up,备牙后,修复体试戴,粘接完成,粘接完一周

28、术后DSD分析 
29、术后X线片 
30、治疗完成后口外照

声明:部分文字、图片等素材来源于网络,小编整理 。我们的目的只在于学习分享。如涉及内容与版权有侵权,请联系我们删除!
博瑞特美学修复中心
福州榕城成功义齿制作公司
想了解更多精彩内容,请关注博瑞特义齿官网:www.brtchina.com。
相关内容资讯欢迎拨打电话:0591-83595526;13615032255;13067236885。
| 返回列表 上一页 | 下一页 |