新闻浏览
您现在的位置:新闻中心 -> 新闻浏览| 返回列表 上一页 | 下一页 |
近年来,即刻种植即刻修复越来越受到医生和患者的青睐,尤其在前牙美学区,能够有效缩短治疗时间、维持软硬组织的量,易于呈现出较好的美学效果,因此被广泛运用到临床中。本文病例采用即刻种植即刻修复的方法,通过对软组织进行塑形,达到前牙种植区牙龈形态的协调,获得理想的美学效果。

初诊情况
患者情况
8226; 患者年龄:36岁
8226; 患者性别:女
8226; 患者主诉:上前牙外伤半个月,要求修复
口腔检查
8226; 11、12一度松动,叩诊不适;
8226; 21牙冠三度松动,21牙冠冠向移位1.5mm,叩诊(+);
8226; 22冠根折,唇侧断面至龈下3mm,唇侧颈部凹陷;
8226; 前牙2-2中覆181015;,浅覆盖;
8226; 高位笑线,牙龈色粉,质韧,无明显红肿;
8226; 薄龈生物型,角化龈宽度充足,龈缘高度不协调;
8226; 21龈缘根向移位约1mm;
8226; 张口型张口度正常;
8226; 双侧关节区无压痛无弹响。

影像学检查
8226; CBCT检查显示11,12见根颈1/3根折线,无明显移位;
8226; 21根颈1/3根折,冠向移位,唇侧骨板完整,厚度约1mm,根尖区骨量充足;
8226; 22根长约9mm。
诊断
8226; 11、12和21根折;
8226; 22冠根折。
手术设计方案
方案设计
图片
01方案一
拔除11、12、21和22;
12、22植入种植体,12-22行种植支持式固定桥修复。
02方案二
11、12暂不做处理,临床观察,必要时行进一步治疗;
拔除21、22,分别行种植单冠修复。
03方案三
11、12暂不做处理,临床观察,必要时行进一步治疗;
拔除21,即刻植入种植体;
22残根根管治疗后修整至龈下,21、22行种植支持式单端固定桥修复。
04方案四
11、21暂不做处理,临床观察,必要时行进一步治疗;
拔除21,行种植单冠修复;
22正畸牵引至龈上,行桩冠修复。
方案选择
向患者交代病情及可选治疗方案,同时告知患者相应的治疗程序和费用及可能存在的风险因素。最终选择方案三。
方案要点
8226; 该患者21唇侧骨板完整,厚度1mm,根部骨量充足,按照经典即刻种植要求,牙龈要求为厚龈型,故交代软组织增量可能;
8226; 22唇侧颈部轻度塌陷,考虑到保留22牙根,可以减少22唇侧骨吸收,维持唇侧轮廓,利于后期美学效果,故建议22行根管治疗,磨至龈下,软组织封闭。患者前牙区中覆181015;,浅覆盖,视种植体术中初期稳定性,拟行即刻修复;
8226; 患者知情同意,21即刻种植即刻修复,21、22单端桥修复,必要情况下行软组织增量手术。
外科手术过程
一期手术过程
8226; 局麻下,微创拔除21患牙,图见 21 牙冠与牙根完全分离;

8226; 仔细探查唇侧骨壁,骨壁完整,偏腭侧制备种植窝洞,植入Straumann Roxolid® SLActive® BLT 3.3mm×14mm 种植体;
8226; 种植体三维位置良好,位于理想龈缘根方3mm-4mm;

8226; 种植体植入扭矩大于35N.cm;
8226; 种植体与唇侧骨板2mm以上的跳跃间隙,间隙内植入骨粉;
8226; 安装愈合基台;
8226; 术后CBCT 。
种植修复过程
即刻修复
8226; 利用患者21天然牙冠制作种植体支持式螺丝固位临时修复体,21螺丝孔从腭侧穿出;
8226; 试戴临时修复体,调整邻接,调181015;至正中、前伸和侧方181015;均无接触。临时基台加力至15N;
8226; 术后根尖片显示临时基台就位良好;
8226; 术后一周,21牙龈冠向生长;
8226; 术后一月,21残根磨至龈下。

牙龈诱导
8226; 四个月后,取下临时修复体,见21牙龈高度与11基本一致,穿龈轮廓初步成形,22牙龈基本覆盖断根面;


8226; 取开口式印模,按照理想龈缘位置制作种植体支持式临时树脂单端修复体,口内戴入;
8226; X线示:修复体就位良好。

最终修复
8226; 临时冠戴入3个月后,可见21、22间牙龈乳头冠向生长,前牙区龈缘对称,软组织获得良好的穿龈轮廓形态;
8226; 为了诱导11、21间龈乳头继续冠向生长,扩大11、21龈外展隙;


8226; 制作个性化转移杆;
8226; 转移杆完美复制出穿龈轮廓和袖口形态;
8226; 两周后,戴入最终修复体;
8226; 牙冠形态颜色协调,轮廓及龈缘形态基本协调对称,红白美学效果较理想;
8226; 咬合微调至正中及侧方无干扰后抛光。





术后X线片
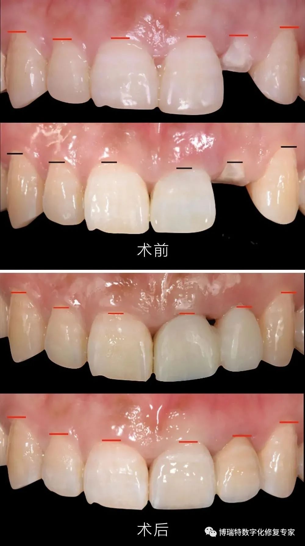
术前、术后对比照

术前、术后牙龈高度对比


戴牙后1年复查
结论
本病例运用即刻种植技术、即刻修复技术,结合软组织管理理念,通过对临时修复体外形轮廓的设计进行软组织塑形,微创的完成了上前牙美学区的种植修复,获得了良好的功能与美学效果。
讨论
根据以往文献报道及临床病例显示,根折牙齿若无松动和牙髓症状,可以尝试定期观察,以获得较好的愈后效果。该病例中,患者11、12根颈1/3见根折线,牙冠未移位,无明显松动,临床症状不明显,与患者沟通后,患者想尝试保留患牙,将愈后可能存在的风险及并发症告知患者,患者选择先进行临床观察,嘱咐患者暂时勿用患牙行使功能。目前,患牙临床状态正常,将继续进行临床观察。
22根长较短,且位于龈下,若经正畸牵引后行桩核冠修复,修复体冠根比过大,愈后较差。在美学区为了获得更好的美学效果,尽量避免连续植入种植体,因此选择在21位点即刻植入机械强度更高的Roxolid®种植体,后期行种植体支持式的单端桥修复;
本病例中,患者为薄龈生物型,增加了种植体唇侧龈缘退缩的风险,术前已告知患者若后期软组织轮廓凹陷,龈缘高度不协调,要进行软组织增量术,改善牙龈的美观效果。在患者术后七个月进行最终修复时,前牙区牙龈高度协调,附着龈宽度适中,唇侧轮廓丰满度较好,美学效果理想。
为了获得理想的美学效果,可以通过对种植体支持的修复体进行合理的设计与调整。美学区种植修复体有其重要设计考量:穿龈轮廓,分为关键区 (Critical Contour) 和非关键区(Subcritical Contour)。根据OscarGonzalez-Martin博士提出的观点,在软组织愈合阶段,软组织不应发生挤压,这时临时修复体应尽可能为组织提供空间。修复体关键区轮廓支持现有牙龈边缘和乳头高度。临时修复体在腭侧与邻接区通常保持与天然牙的轮廓相同,而在唇侧,可将其修整至0.5mm至1mm,以促进愈合过程后龈缘的轻微冠状移位。次关键区轮廓尽可能凹陷,以为血凝块和移植材料留出空间,以稳定并潜在进行骨重建。本病例中用患者天然牙做即刻修复体,即刻修复体唇侧关键区设计偏腭侧,穿龈轮廓为凹形,旨在诱导软组织冠向附着,为唇侧软硬组织提供充分的再生空间。患者戴入即刻修复体4个月后,骨整合和软组织成熟之后现存牙龈缘位于理想牙龈缘的冠方,我们通过在树脂修复体唇侧关键区添加树脂,以追求唇侧龈线边缘的顶部移位,最终修复体佩戴时,患者前牙区龈缘高度基本对称。
本病例我们运用软组织管理理念,通过对临时修复体外形进行设计和调整,最终获得了较为满意的美学效果,避免了软组织手术对患者带来的额外创伤和痛苦。
但是利用临时修复体进行软组织塑形的作用是有限的,在软组织大量缺损的病例,还需通过手术方法恢复理想的软组织形态。
声明:部分文字、图片等素材来源于网络,博瑞特小编整理 。我们的目的只在于学习分享。如涉及内容与版权有侵权,请联系我们删除!
案例来源:李敢,徐州医科大学附属口腔医院 (徐州市口腔医院) 口腔种植科
博瑞特美学修复中心
福州榕城成功义齿制作公司
想了解更多精彩内容,请关注博瑞特义齿官网:www.brtchina.com。
相关内容资讯欢迎拨打电话:0591-83595526;13615032255;13067236885。
| 返回列表 上一页 | 下一页 |